Invisalign®
If you are ready to improve your smile without the hassle of traditional braces, Invisalign® may be the solution for you. At Dougherty Cosmetic Dentistry, we are proud to offer Invisalign® treatment to patients of all ages who want to enhance their smile without the hassle of brackets and wires.
Invisalign® aligners are custom-designed to gently shift your teeth into their ideal position, giving you a beautiful, confident smile without interrupting your lifestyle. To get started with your smile journey, call us today to schedule a consultation.
What is Invisalign?
Invisalign is an alternative to traditional metal braces that uses a series of clear aligners (also called trays) to gently move teeth into their correct position. The aligners are made of a clear plastic material, which makes them virtually invisible! The trays fit snugly over your teeth, so no one will ever know you’re wearing them.
Invisalign is the most sophisticated clear aligner system on the market. Patients should accept no substitute. In the skilled hands of an experienced orthodontist, we can achieve the results you are looking for.
Invisalign can treat:
- Crooked Teeth: Teeth that are turned or misaligned.
- Crowded Teeth: Not enough space in the mouth, causing teeth to overlap.
- Gaps Between Teeth: Spaces between teeth that can affect your bite or appearance.
- Overbite: Top front teeth that sit over the bottom teeth.
- Underbite: Bottom front teeth placement juts out over the top teeth.
- Crossbite: Upper and lower jaws do not line up.
- Open Bite: Upper front teeth and bottom front teeth don’t meet at all.
If you have any of these dental or cosmetic issues then Invisalign might be the right choice for your smile.

Our Mission
We are proud to serve our patients with the highest quality dental care. We strive to deliver a personalized healthcare experience in a comfortable environment to all of our patients.
Meet Our Providers
If you want to know MORE ABOUT THE TEAM, a description of the providers are:

Larry Dougherty, DDS
Larry Dougherty of Garden Ridge is the owner and lead dentist at Dougherty Cosmetic Dentistry. He earned his Doctor of Dental Medicine degree from Nova Southeastern University College of Dental Medicine in Fort Lauderdale, Florida. As a dental student, he was awarded the College of Dental Medicine Service Award for his commitment to welcoming all prospective students interviewing for dental school.
While serving as Chair of the San Antonio District Dental Society New Dentist Committee, Dr. Dougherty won an award from the American Dental Association for Outstanding Program by creating a Fantasy Football league involving members and sponsors.

Kelsey Edmondson, DDS, MS
Dr. Kelsey Edmondson was born and raised in Houston, TX and obtained her bachelor’s degree in Human Biology from The University of Texas at Austin. She then attended The University of Texas School of Dentistry at Houston where she received her Doctorate in Dental Surgery.
After graduation from dental school, Dr. Edmondson completed three years of post-graduate surgical training and received her Master of Science degree and earned a Certificate in Periodontics from The University of Texas School of Dentistry at Houston.

Richard D’Avanzo, DMD
Dr. D’Avanzo is a Board Certified Orthodontist. He graduated from Albright College with a degree in biology and then obtained his DMD degree from Fairleigh Dickinson School of Dental Medicine.
He also obtained his Master of Science degree in oral biology from Temple University School of Dentistry with a specialty in orthodontics.

Robert Busch, DMD, MD
Dr. Robert Busch is a board-certified dental surgeon. He earned his dental degree from the University of Florida College of Dentistry before completing medical school at the University of Texas Southwestern. He went on to complete a general surgery internship followed by a residency in oral and maxillofacial surgery at UT Southwestern.
In addition, Dr. Busch trained at the National Institute of Dental and Craniofacial Research, further strengthening his clinical and scientific expertise.
His work as a dental surgeon includes everything from single-tooth implants to full-arch restorations (All-on-4®). Dr. Busch also offers a comprehensive range of anesthetic options to ensure patient comfort throughout every stage of treatment.
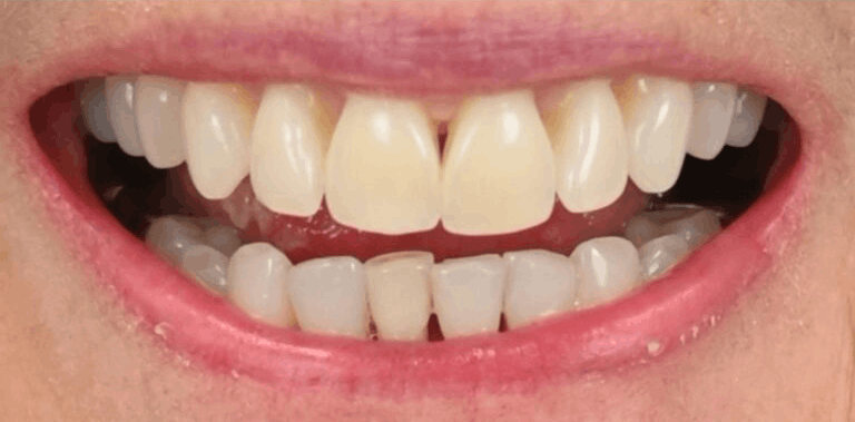
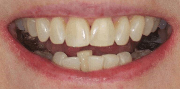
Real Patients, Real Results
Dougherty Cosmetic Dentistry – Before and After Images of Patients

How Does Invisalign® Work?
To begin your beautiful smile transformation, our dentists will discuss your smile goals and explain the straightforward process of obtaining them with Invisalign treatment.
- The first step involves taking a 3D scan of your teeth, which is painless and easy. The Invisalign® technology allows us to show you a rendering of what your smile will look like after treatment, even before you start! We will also explain the step-by-step treatment plan designed specifically for you so you will understand what to expect.
- Once we have a 3D “map” of your teeth, we will complete the process of digitally designing each aligner, which will enable your teeth to be put into the proper position one aligner at a time.
- When you get started with treatment, you will have all of the aligners for the course of your treatment and will change them out every ten days to two weeks. Each aligner is designed to move your teeth gently and gradually into place until your beautiful smile is complete!
Benefits of Invisalign®
Invisalign has transformed orthodontic treatment by offering a clear and comfortable alternative to traditional braces. It provides a way to straighten teeth without the noticeable wires and brackets, making it easier to maintain confidence throughout treatment.
Beyond aesthetics, Invisalign offers practical health and lifestyle benefits that make it an appealing choice for many patients. Invisalign offers the following advantages:
- Discreet Treatment: Invisalign® aligners are made from clear, medical-grade plastic that fits snugly over your teeth, making them virtually invisible. You can go about your daily life—whether at work, school, or social events—without drawing attention to your treatment.
- Comfortable & Removable: Unlike metal braces with wires and brackets, Invisalign® aligners are smooth and gentle on the inside of your cheeks and lips. They’re also removable, which means you can take them out when eating, brushing, or flossing—making oral hygiene much easier and more effective throughout your treatment.
- Fewer Office Visits: With Invisalign®, you typically receive several sets of aligners at a time and simply switch to a new set every 1–2 weeks as directed. This eliminates the need for frequent adjustment appointments, saving you time and reducing disruptions to your schedule.

- No Food Restrictions: Since the aligners are removed during meals, you don’t have to give up crunchy, chewy, or sticky foods like you would with braces. Just take them out before eating, enjoy your meal, and brush your teeth before putting them back in.
- Customized for You: Your aligners are designed using advanced 3D imaging technology to create a series of trays that gradually shift your teeth into their ideal positions. Each aligner is customized to the exact contours of your smile for a secure, precise fit and optimal movement.
- Quicker Treatment: Because the aligners apply controlled force to the entire surface of each tooth, many patients see results in less time compared to traditional braces. Treatment plans can range from just a few months to around a year, depending on your specific needs.
- Improved Oral Health: Straighter teeth are easier to clean and less likely to trap food particles or plaque in hard-to-reach areas. By aligning your bite and spacing your teeth properly, Invisalign® helps reduce the risk of cavities, gum disease, and enamel wear.
Choosing Invisalign actively invests in your long-term oral health, confidence, and overall well-being. Its blend of comfort, convenience, and discreet design makes it easier than ever to reach your dream smile.
Call our dental office in Garden Ridge today to schedule your consultation and take the first step toward a healthier, more confident you.
Transform Your Smile With Adult Orthodontic Options
Orthodontic treatment improves both your oral health and your quality of life. For adults, straightening your teeth offers lasting benefits that extend well beyond a better-looking smile.
Crooked or crowded teeth are harder to keep clean, increasing your risk of tooth decay, gum disease, and uneven wear. Misaligned bites can cause jaw pain, headaches, and even lead to tooth damage over time.
Modern orthodontic options like Invisalign® or clear braces allow adults to achieve a healthier, more functional smile, without the look of traditional metal braces. Whether you’re preparing for a major life event or simply investing in your health, adult orthodontics can be a smart decision for a lasting difference.
Who Is a Candidate for Invisalign®?
Invisalign® is a great option for many patients, but it works best when certain conditions are met. You may be a good candidate if you:
- Have mild to moderate crowding, gaps, or bite alignment issues
- Are committed to wearing aligners for 20–22 hours a day
- Prefer a more discreet, removable alternative to metal braces
- Have healthy teeth and gums, free of active decay or gum disease
- Are a teen or adult with fully developed permanent teeth
During your consultation, we’ll evaluate your bite, smile goals, and overall oral health to determine if Invisalign is the right fit for you. If so, we’ll create a personalized treatment plan to help you achieve lasting results with comfort and confidence.
Discover Your Aligned Smile with Invisalign at Dougherty Cosmetic Dentistry
Our practice is committed to continually expanding our orthodontic services to bring you the best dental care. We are delighted to introduce Dr. Richard D’Avanzo, a Board Certified orthodontist, to our practice.
With his expertise and experience in Invisalign treatment, we can offer you this innovative and discreet orthodontic option to help you achieve your dream smile hassle-free. Whether you are looking to straighten your teeth or correct bite issues, Invisalign is a comfortable and nearly invisible solution.
Partner with us today on your journey to a healthier, more confident smile with our Invisalign treatment.
Dr. D’Avanzo can see and treat all of our patients remotely. While Dr. D’Avanzo is working with Invisalign to design your treatment plan, you will still see Dr. Dougherty and his team here in Garden Ridge to receive your trays and guide you through the critical steps of the treatment.
Real Patients, Real Results
Dougherty Cosmetic Dentistry – Before and After Images of Patients
Hearing directly from our patients is the best way to understand the quality of care and results we provide. Their stories highlight not only the transformations in their smiles but also the confidence, comfort, and renewed joy that come with them. We’re honored to be part of each journey and proud to share the experiences of those who have trusted us with their dental care.
Risks of Delaying Invisalign Treatment
Putting off orthodontic treatment may seem harmless, but misaligned teeth can lead to long-term oral health issues, including:
- Increased Wear and Tear: Uneven bites put extra stress on certain teeth, leading to chips, cracks, or premature wear.
- Jaw Pain and TMJ Problems: Bite misalignment can strain jaw joints and muscles, causing discomfort or headaches.
- Higher Risk of Gum Disease: Crowded or overlapping teeth are harder to clean, allowing plaque and bacteria to accumulate.
- Tooth Shifting: Gaps or crowding often worsen with time, making future treatment more complex.
- Reduced Confidence: Misaligned teeth may affect the way you smile, speak, and feel in social or professional settings.
How Does Dental Technology Improve Invisalign?
Modern dental technology makes Invisalign treatment more precise, comfortable, and predictable than ever before. At our practice, we use advanced tools to ensure your aligners are designed with accuracy and your results are long-lasting.
iTero Digital Scanning with NIRI
No messy impressions needed. This scanner captures detailed, high-resolution 3D images of your teeth.
Tekscan Bite Analysis
A digital bite test allows us to evaluate how your teeth come together. This ensures that Invisalign not only straightens your smile but also supports long-term bite comfort and function.
Outcome Simulator
Want to see your future smile before you begin? Our simulator creates a digital preview of your results, giving you confidence and motivation during treatment.
With these innovations, Invisalign becomes a fully customized orthodontic experience designed around your health, comfort, and goals.
Frequently Asked Questions About Invisalign
Choosing to straighten your teeth is an exciting decision, but it’s natural to have questions before starting treatment. Invisalign has quickly become one of the most popular orthodontic options because of its comfort, convenience, and nearly invisible design.
To help you feel informed and confident, we’ve answered some of the most common questions patients ask about Invisalign below.
Start Your Journey to a Straighter Smile
If you have been dreaming of a straighter, more confident smile without the hassle of metal braces, Invisalign could be the clear choice for you. With its discreet appearance, comfortable fit, and customized treatment plan, Invisalign makes it easier than ever to achieve the smile you’ve always wanted.
Call Dougherty Cosmetic Dentistry in Garden Ridge today.


