Reclaim Your Beautiful, Confident Smile with
COSMETIC DENTISTRY
At Dougherty Cosmetic Dentistry, cosmetic dentistry isn’t just about chasing exceptional results, it’s also about helping you feel confident every time you smile. Whether you’re here for a small touch-up or a full smile transformation, we focus on natural-looking, long-lasting results that fit your personality and lifestyle.
Why Cosmetic Patients Choose Us
When it comes to your smile, you want to make sure that you are getting the right people for the job, we are known for:
- Prioritizing natural, timeless aesthetics over trends
- Using biocompatible, high-quality materials and digital tools
- Offering a friendly, no-pressure experience in a laid-back, professional setting
- Believing every treatment plan should be as unique as your smile
With the help of our experienced team, advanced dental technology, and commitment to precision, you will not only get to see your results before starting but your care will be customized to your specific needs every step of the way to ensure you receive the smile of your dreams.

Our Mission
We are proud to serve our patients with the highest quality dental care. We strive to deliver a personalized healthcare experience in a comfortable environment to all of our patients.
Meet Our Providers
If you want to know MORE ABOUT THE TEAM, a description of the providers are:

Larry Dougherty, DDS
Larry Dougherty of Garden Ridge is the owner and lead dentist at Dougherty Cosmetic Dentistry. He earned his Doctor of Dental Medicine degree from Nova Southeastern University College of Dental Medicine in Fort Lauderdale, Florida. As a dental student, he was awarded the College of Dental Medicine Service Award for his commitment to welcoming all prospective students interviewing for dental school.
While serving as Chair of the San Antonio District Dental Society New Dentist Committee, Dr. Dougherty won an award from the American Dental Association for Outstanding Program by creating a Fantasy Football league involving members and sponsors.

Kelsey Edmondson, DDS, MS
Dr. Kelsey Edmondson was born and raised in Houston, TX and obtained her bachelor’s degree in Human Biology from The University of Texas at Austin. She then attended The University of Texas School of Dentistry at Houston where she received her Doctorate in Dental Surgery.
After graduation from dental school, Dr. Edmondson completed three years of post-graduate surgical training and received her Master of Science degree and earned a Certificate in Periodontics from The University of Texas School of Dentistry at Houston.

Richard D’Avanzo, DMD
Dr. D’Avanzo is a Board Certified Orthodontist. He graduated from Albright College with a degree in biology and then obtained his DMD degree from Fairleigh Dickinson School of Dental Medicine.
He also obtained his Master of Science degree in oral biology from Temple University School of Dentistry with a specialty in orthodontics.

Robert Busch, DMD, MD
Dr. Robert Busch is a board-certified dental surgeon. He earned his dental degree from the University of Florida College of Dentistry before completing medical school at the University of Texas Southwestern. He went on to complete a general surgery internship followed by a residency in oral and maxillofacial surgery at UT Southwestern.
In addition, Dr. Busch trained at the National Institute of Dental and Craniofacial Research, further strengthening his clinical and scientific expertise.
His work as a dental surgeon includes everything from single-tooth implants to full-arch restorations (All-on-4®). Dr. Busch also offers a comprehensive range of anesthetic options to ensure patient comfort throughout every stage of treatment.
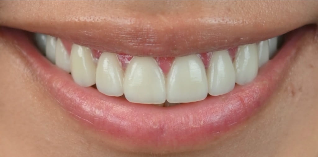
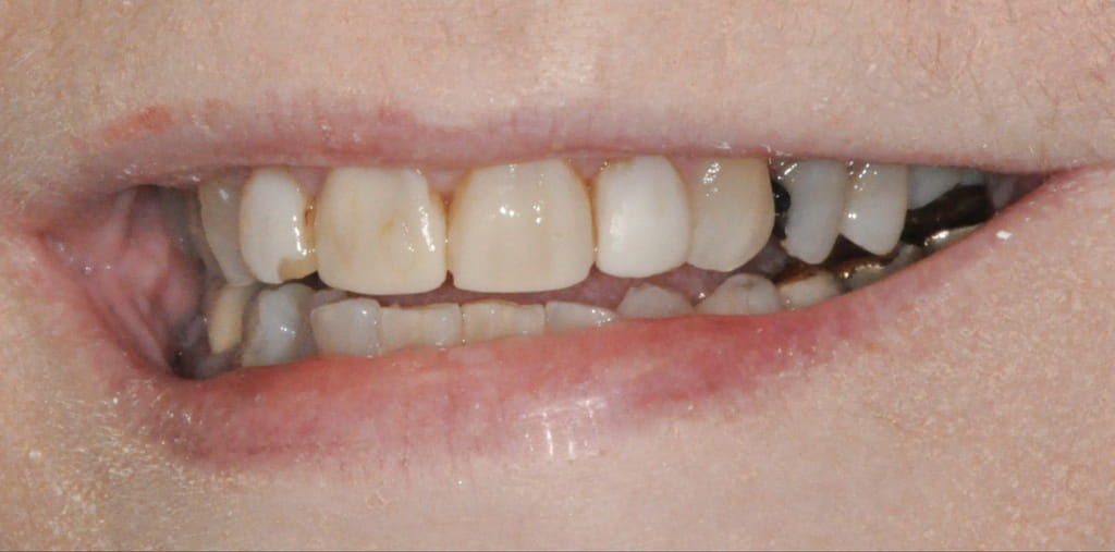
Real Patients, Real Results
Dougherty Cosmetic Dentistry – Before and After Images of Patients

What Are You Looking For?
Cosmetic dentistry doesn’t have to be dramatic to make a big difference. Whether you want a subtle upgrade or a full smile refresh, we’re here to guide you with honesty, skill, and a down-to-earth approach.
Book your consultation today, let’s start creating a smile you’ll love to show off.
If you want to get started with any of these treatment plans, call our dental office today to see what is right for your smile.
What Our Patients Say
Want to Know More?
We are here to answer your questions, discuss your goals, and guide you through the treatment options that best suit your needs. Every smile is unique, and our team is committed to helping you feel informed and comfortable at every step of the journey.
Get Started on your Beautiful Smile Journey
Cosmetic dentistry doesn’t have to be dramatic to make a big difference. Whether you want a subtle upgrade or a full smile refresh, we’re here to guide you with honesty, skill, and a down-to-earth approach.
For more information about aesthetic dentistry and how it can improve your confidence, please call (210) 880-4120 to schedule an appointment with our team.




